Invisalign i Oslo hos Clinica Medspa & Tannhelse
Invisalign er en usynlig tannregulering som benytter gjennomsiktige skinner for å rette tennene uten synlige metalltråder. Hos Clinica Tannlegesenter på Majorstuen i Oslo tilbyr vi profesjonelle Invisalign-behandlinger for å gi deg et vakkert smil uten at du trenger å bekymre deg for tradisjonell, synlig regulering. Bestill en gratis konsultasjon i dag for å finne ut om Invisalign er riktig for deg!
Hvordan fungerer Invisalign-behandling?
Ved første konsultasjon får du tilpasset skinner som er litt mindre enn tennene dine. Etter hvert som tennene beveger seg, bytter du til nye skinner som gradvis tilpasses den ønskede tannstillingen. Prosessen fortsetter til tennene har fått ønsket posisjon.
Når behandlingen er over, er det viktig å forsikre at tennene holder seg på plass. Dette kan gjøres med enten en tynn metalltråd limt på baksiden av tennene eller ved hjelp av spesialskinner som brukes mindre over tid, til de bare behøves noen netter i måneden.
Hva bør du vurdere før du velger Invisalign?
- Hvorfor ønsker du behandling? Før du bestemmer deg, bør du være klar over hva du ønsker å oppnå. Andre alternativer kan også være mer passende for dine behov.
- Er du forpliktet? Invisalign-behandling krever at du bruker skinnene i 18 timer per dag for å oppnå ønsket resultat.
- Vær tålmodig: Skinnene kan føles uvante i starten, og det kan ta noen dager før du føler deg komfortabel med dem, spesielt når du snakker.
- Regelmessig oppfølging: Invisalign-behandling krever oppfølging hos tannlegen for å sikre at alt går etter planen.
- Langsiktig vedlikehold: For å opprettholde resultatene, kan du måtte bruke skinner på nattestid etter behandlingen. Våre tannleger gir deg all informasjon du trenger om etterbehandling.
Pris på Invisalign-behandling hos Clinica Tannlegesenter:
Behandlingsprisen avhenger av kompleksiteten og varigheten på behandlingen. Vi tilbyr følgende alternativer:
- Veldig enkel behandling (2-3 måneder): 34.990 NOK
- Enkel behandling (3-6 måneder): 44.990 NOK
- Middels behandling (6-12 måneder): 54.990 NOK
- Avansert behandling (12-18 måneder): 64.990 NOK
For å finne ut hvilken pakke som passer for deg, vil vi ta tannavtrykk som sendes for analyse. Analysen koster 3.900 NOK, men dette beløpet trekkes fra den totale prisen ved valg av Invisalign-behandling. Bestiller du behandling hos Clinica Tannlegesenter, får du tannbleking inkludert i prisen.
Hvordan lager teknikerne Invisalign-skinnene?
Når du og tannlegen har bestemt at Invisalign er riktig for deg, tar vi et avtrykk av tennene som sendes til en sertifisert tekniker. Teknikeren bruker et dataprogram for å simulere hvordan tennene skal plasseres, og du kan sammen med tannlegen diskutere ønskede resultater.
Ofte stilte spørsmål om Invisalign:
- Er Invisalign smertefullt? Det kan føles litt ubehagelig i begynnelsen og etter at skinnene byttes ut, men dette er et tegn på at behandlingen fungerer. Generelt er det lite smerte forbundet med Invisalign-behandling.
- Hva er fordelene med Invisalign sammenlignet med tradisjonell tannregulering? Invisalign er usynlig og mer komfortabelt enn tradisjonell regulering som innebærer metalltråder. Skinnene kan fjernes når du spiser eller drikker, noe som gir mer fleksibilitet.
- Hvor lang tid tar Invisalign-behandlingen? Behandlingstiden kan variere, men den tar vanligvis mellom 12 og 18 måneder. Du vil begynne å merke forbedringer allerede etter noen uker.
- Kan jeg drikke brus med Invisalign? Det anbefales ikke å drikke brus eller vin med skinnene på. Ta dem ut for å unngå skade på tennene.
- Kan jeg spise som normalt? Skinnene kan tas ut mens du spiser, så det er ingen matbegrensninger. Dette skiller seg fra tradisjonell tannregulering som kan begrense hva du kan spise.
- Er Invisalign dyrt? Prisen avhenger av behandlingsbehovet og varigheten. Behandlingene starter fra 34.990 NOK for kortere behandlinger.
- Hvordan vet jeg om Invisalign passer for meg? Vi tilbyr gratis konsultasjoner hvor du sammen med tannlegen kan finne ut om Invisalign er riktig for deg.
- Er det synlig at jeg bruker Invisalign? Skinnene er praktisk talt usynlige, og de vil ikke være synlige for andre.
Om Clinica Tannlegesenter:
Clinica Tannlegesenter er din pålitelige tannlegeklinikk på Majorstuen, Oslo. Vi tilbyr både estetiske behandlinger som Invisalign og tradisjonell tannbehandling. Vår profesjonelle tannlegegruppe sørger for at du får den beste behandlingen tilpasset dine behov.
Kontakt oss:
Hvis du har spørsmål om Invisalign eller ønsker å bestille en gratis konsultasjon, kan du kontakte oss på:
- Telefon: 22 23 33 33
- Adresse: Parkveien 19, 0350 Oslo
- E-post: post@clinica.no
Bestill din gratis konsultasjon i dag og få et vakrere smil med Invisalign!
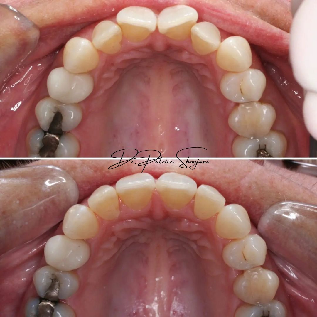
Invisalign® Galleri
















Prisliste
Invisalign har forskellige behandlings-kategorier med ulike priser.

